治療方式、特點、適應症
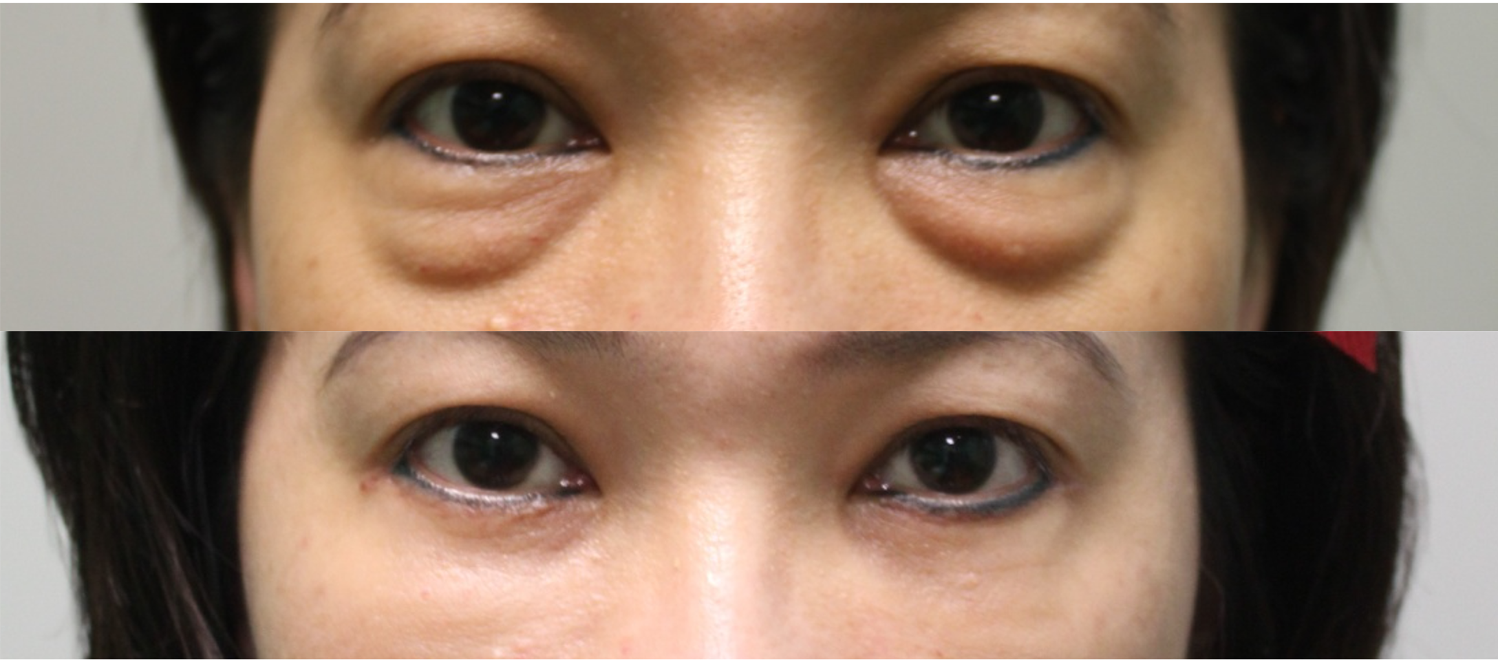
這項手術是針對下眼皮鬆弛、眼袋明顯的人而設計。
手術的特點是:
1.外開眼袋是沿著眼睫毛下方約3-5mm處做切口,一直延伸到眼尾。外開的好處是可以修除多餘的皮膚,拉緊鬆弛的下眼皮,回復較年輕的皮膚緊實度。
2.外開眼袋同時也可以施作下眼皮懸吊。將下眼皮的皮膚肌肉皮瓣與眼尾處眼眶骨的骨膜對接縫合。這樣可以避免術後下眼皮外翻的可能,也能預防將來年紀增長後的老化性下眼瞼外翻。
可以從幾個自我檢測的方法中,查看是否適合接受這項手術:
1.有明顯的眼袋。可以移除眼袋脂肪,或轉移到淚溝處。
2.可以用手指去捏下眼皮,拉張後放鬆,然後看下眼皮回復位置的速度。如果回復的速度慢(好幾秒),就代表需要切除部分眼皮組織。
3.淚溝的深淺。凹陷的淚溝需要被填平,無論是用下移眼袋脂肪,或是拉提中臉脂肪墊,或是自體脂肪移植。 實際的適應情況,還是在門診時討論較為適當。
術前注意事項
1.術前一週停止服用阿斯匹靈(Aspirin)、抗凝血劑、保健藥品(如銀杏、維生素E、四物湯、中藥補品等)。若有服用醫囑處方藥或藥物過敏史,請事先告知醫師,以便建議是否需停藥。
2.術前停止抽菸一個月,以免影響傷口癒合。
3.術前如有感冒症狀,建議延後手術。因為眼袋手術後,應避免咳嗽打噴嚏等動作。
4.術前一晚,請好好休息,切勿熬夜或使用3C產品。
5.手術當天請勿化妝、配戴隱形眼鏡、貼雙眼皮貼或假睫毛。如有種植假睫毛,建議事前卸除,以免干擾手術。
6.手術當天,身上請勿配戴金屬飾物。並請不要攜帶貴重物品前來。
7.手術為局部麻醉,術前可進食,無需空腹。進手術室前請您先排空膀胱,避免因緊張造成手術中想上廁所的焦慮。
8.如選擇鎮靜麻醉,手術前八小時禁食、禁水。指甲油及水晶指甲需卸除,避免影響血氧濃度監測。術前請您先排空膀胱。麻醉前請卸除所有可移除異物(如活動性假牙、隱形眼鏡)及飾品。
9.手術後下眼皮會腫脹,請勿駕駛交通工具前來。建議由親友陪同前來診所。
術後照護事項
1.眼袋外開手術是從下眼皮睫毛下方的切口進入,找到眼袋脂肪後,移除部分脂肪或轉位。手術時,會傷害或切斷某些小血管與微血管。雖然我會做很完善的止血步驟,然而血管的癒合需要幾天甚至數週的時間,因此手術後請勿出現咳嗽、打噴嚏、擤鼻涕或搬舉重物的動作。因為這些動作會造成暫時性的血壓升高,可能會讓血液衝破剛止血好的血管傷口,致使滲血或流血發生。倘若發生手術處突然腫脹或手術傷口出血的狀況,請立即聯絡診所人員。
2.手術後,會在下眼皮傷口下方貼數條醫療膠帶,作用是固定與拉提皮膚組織,同時避免術後太過腫脹。術後第二、三天是術後腫脹最厲害的時間,貼上膠帶可以壓抑過度腫脹的發生。一般會於手術後第三或四天安排來診所一趟,由護理師協助移除膠帶。這樣就能加速術後回復自然的時程。
3.這項手術的範圍大,傷害的組織也多。為了早日回復自然,術後要多休息,避免用眼過度影響下眼皮內外傷口的癒合。拆線前,建議減少使用3C產品。閉眼休息時,下眼皮組織呈現放鬆的狀態,可以加速微循環的重建與修護。
4.手術後會開立一些藥物,主要是止痛、止血、消腫、避免感染等藥物。請依照指示服用。手術處如有任何突然腫脹或是持續性紅腫熱痛發生,請儘速聯繫診所人員。
5.手術後第一天,可能會有些許清澈的血水滲出,這是正常現象。請用乾淨棉棒移除。如發生劇痛或止不住的出血,請儘速跟診所人員聯繫。
6.這項手術因為同時有施作「自體脂肪移植手術」,請不要做「冰敷」的動作,以免傷害剛剛移植的脂肪細胞。
7.手術後第四天開始,可以「溫敷」。溫度大約比洗澡水溫度再高一些就好,以免燙傷。每次溫敷15-20分鐘,一天3-5次。溫敷可以增加傷口附近的血液循環,促進傷口癒合。
8.洗臉或洗澡時,避免傷口直接碰觸自來水。
9.每天起床洗臉及晚間沐浴後,用乾淨的市售棉棒沾濕生理食鹽水,輕輕地清除傷口上的舊藥膏。如有血水,可以擦掉。若傷口上有結痂,不須要勉強清除,因為結痂有保護傷口的作用,痂皮內的環境適合傷口癒合。清潔後,再用乾淨棉棒在傷口上敷藥膏。
10.手術後拆線前,請不要配戴隱形眼鏡。拆線後,如果下眼皮依然腫脹,建議暫緩配戴隱形眼鏡,直至消腫容易撐開眼皮為止。
11.拆線前不要上妝,以免影響傷口癒合。拆線後,請稍等一週,待小針孔癒合後再化妝,以避免粉妝的微細顆粒卡進傷口,造成針孔癒合不良或發生感染。
12.抽菸是大忌。尼古丁會降低傷口周圍的血流循環,降低癒合速度。由於拆線後,疤痕重塑期仍然需要豐富的血液循環,因此建議術後停止抽煙一個月。此外,尼古丁會使血管收縮,降低移植後的脂肪細胞存活率。
13.不建議飲酒。酒精不利於傷口癒合。也不建議食用辛辣類食物、咖啡、茶飲。
14.拆線前請勿從事劇烈運動。拆線後一週內也不要從事游泳或水上運動。
15.雖然瘀青的機會不高,萬一真的有瘀青,請不用擔心。瘀青通常會在兩週左右消退。
16.因為同時施作自體脂肪移植手術,腫脹消退的時間會延遲。一般來說,兩週後會明顯的消退,一個月左右會回復自然的狀態。
17.下眼皮傷口癒合過程中,可能會產生搔癢感。這是傷口癒合時的正常現象,請不要用手搓揉。若真的忍不住,可以拿乾淨的棉花棒輕輕按壓。
18.通常會安排術後一週回診拆線。
19.拆線後如有些許疤痕遺存,可以買市售除疤凝膠,薄薄塗一層即可,請勿碰觸到角膜。拆線後,眼角外的疤痕會貼上一小塊的美容膠帶或人工皮,請每天更換一次。建議可以貼一個月左右,能有效促進疤痕的淡化。
20.手術一個月內,請勿直接曝曬陽光,避免疤痕的色素沈澱。
21.同時施作自體脂肪移植手術,通常脂肪細胞的存活率約為60-70%,因此填充的脂肪會較需要的量還多一些。當部分脂肪沒有存活被吸收後,整體的填充情況就會是剛剛好的豐潤。也因為填充的量較多,腫脹消退的時間會延遲。一般來說,兩週後可以看到明顯的消退,一個月左右會回復較自然的狀態。
22.自體脂肪填充後,千萬不要減重,以免填充進去的脂肪細胞被減掉…。
眼袋外開手術會有一些常見的問題:
1.手術是否能夠完全消除眼袋?這項手術是移除部分眼袋脂肪,同時拉提中臉的脂肪墊,使得外觀上不會看到明顯的眼袋。術後的眼袋明顯度會相當程度地消除,但不是完全不見,因為並不是將眼袋內的脂肪「完全」移除或轉位。隨著年紀的增長,眼袋膜與下眼皮皮膚會再逐漸鬆弛,屆時「可能」會有明顯度不一的眼袋再次出現。不過,這也是五年以後的事情。當然了!也可能維持十年以上都不會再出現明顯的眼袋。
2.手術後,下眼皮的細紋是否會消失?因為每個人的眼袋大小、皮膚鬆弛、皮膚厚薄情況都不同,而且不能切除過多的下眼皮皮膚。所以,可能還是會有些許皮膚細紋存在,但是明顯度會大大降低。建議手術後還是要做好眼皮皮膚的保養,包括保濕與抗老化。
3.疤痕狀態?一般來說,鬆弛的傷口比較不容易產生明顯的疤痕。因為我都會施作眼皮下懸吊,因此下眼皮的傷口絕對是呈現鬆弛的狀態,所以可以讓手術傷口很快地癒合,並減少術後明顯疤痕的產生。當然了,疤痕的狀態還是要依個人皮膚體質而定。通常拆線兩三個月後,眼下疤痕就會慢慢消褪。此外,眼尾的傷口是設計跟「魚尾紋」平行,因此疤痕也會隱藏在淺淺的魚尾紋當中。通常半年後,這些疤痕都會消失或非常不明顯。
4.能否保留臥蠶?臥蠶是由鼓起的眼輪匝肌所構成。眼袋外開手術可以只切除下眼皮皮膚,保留皮膚內的眼輪匝肌。因此可以保留術前原有的臥蠶。
5.手術後,淚溝是否會完全消失?因為有施作自體脂肪填充,淚溝、印第安紋的地方會飽滿起來。一般來說,三個月左右後,自體脂肪細胞會穩定下來。倘若因個人體質因素,脂肪存活較差或吸收較多,致使還有些許淚溝凹痕,就可能需要再次接受脂肪填充手術。
孫一峯 醫師
眼袋手術
黑眼圈
眼袋內開
眼袋外開
自體脂肪移植
自體脂肪轉移
自體脂肪填充
眼周年輕化

